

Nerves consist of bundles of nerve fibres enclosed within a protective sheath and facilitate communication with a specific region of the body
Afferent nerves send signals from the body section (via sensory neurons), while efferent nerves send signals to the body section (via motor neurons)
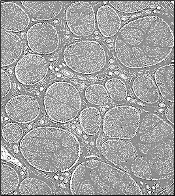
Individual nerve cells are supported by Schwann cells, which may encircle the nerve cell with a layer of fatty tissue called the myelin sheath
Myelination functions to insulate the nerve cell and improve transmission speeds (leading to faster signalling)
However, myelinated fibres require more space and have increased energy requirements, meaning some fibres may remain unmyelinated



The nervous system can be divided into two main components – the central nervous system (CNS) and the peripheral nervous system (PNS)
The CNS consists of the brain and spinal cord, while the PNS consists of sensory and motor neurouns
The central nervous system integrates information received from peripheral nerves and coordinates bodily responses
The majority of this integration occurs within the brain, however certain responses can be autonomously mediated by the spinal nerves (reflex actions)
The peripheral nervous system relays signals between the central nervous system and the organs of the body
Signals within the body tissues are detected by receptors and transmitted to the CNS via sensory neurons
Responsive signals from the CNS are transmitted to effectors (muscles and glands) via motor neurons


The nervous system can be broken down into a number of distinct sub-divisions:
The central nervous system (brain and spinal cord) can be distinguished from the peripheral nervous system
Outputs of the peripheral nervous system can be under somatic (voluntary) or autonomic (involuntary) control
Autonomic outputs are split into sympathetic (‘fight or flight’) or parasympathetic (‘rest and digest’) responses
Sympathetic signals mobilise the body for action, while parasympathetic signals promote energy conservation
Digestive processes are coordinated by a separate division called the enteric nervous system (ENS)
The ENS integrates both somatic and autonomic signals – it can operate independently of the brain and spinal cord

